Fetale Echocardiographie mit STIC

Das Herz ist am häufigsten von Fehlbildungen betroffen, bei Risikoschwangerschaften sogar in bis zu 10%. Außerhalb der spezialisierten Zentren werden diese Störungen leider immer noch häufig übersehen, so dass diese Störungen dann erst nach der Geburt auffallen, wenn bei der U1 Herzgeräusche zu hören sind oder das Baby gar blau anläuft. Daher ist es sinnvoll, das Herz genau zu untersuchen. Mit einem High-End-Ultraschallsystem geht das bereits ab Schwangerschaftswoche 11+0. Der ideale Zeitraum ist jedoch 19+0 – 22+0.

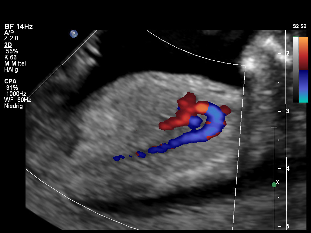
Bei dieser Untersuchung kommen bei uns auch der gepulste Doppler und der Farbdoppler zur Beurteilung des Blutflusses innerhalb des Herzens sowie in den großen herznahen Gefäßen zum Einsatz. Die STIC (Spatial-Temporal Image Correlation) und TUI (Tomographic Ultrasound Imaging) zeigt das Herz auf mehreren Ebenen gleichzeitig, so dass eine bessere räumliche Darstellung gelingt. Dadurch können wir die Herzklappen und Herzwände besser beurteilen, was insbesondere einen Vorteil bei der Einschätzung von Herzfehlern bietet.

Herz mit Farbdoppler SSW 13
Herz und Ausflusstrakte
Schlagendes Herz-STIC
Schlagendes Herz mit Farbdoppler-STIC