Ersttrimesterschall

Ergänzend zu klassischen Untersuchungsmethoden (sog. Nackenfaltenmessung) erreichen wir als ausgewiesene Spezialisten eine höhere diagnostische Sicherheit,
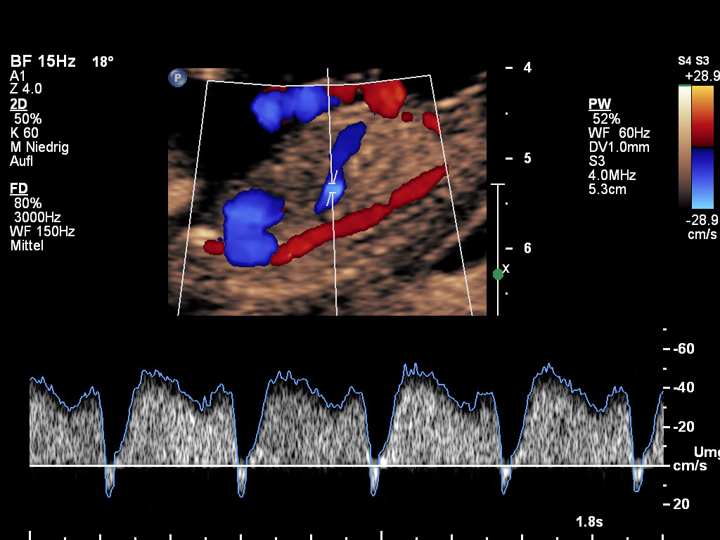
indem wir

  1. den Blutfluss durch die rechte große Klappe im rechten fetalen Herzen messen und auf einen möglichen Rückfluss überprüfen (Trikuspidalregurgitation).
  2. den Zufluss zum fetalen Herzen messen (Ductus-venosus-Fluss). Sollte sich das Blut vor dem Herzen stauen, sind Herzfehler und Störungen in den Erbanlagen häufiger.
  3. den Winkel zwischen Oberkiefer und Stirn messen (frontomaxillarer Winkel). Wenn dieser mehr als 85° beträgt, die Stirn also leicht prominent ist, steigt das Risiko für Störungen.
  4. das Nasenbein beurteilen
  5. die Zuflüsse zur Placenta überprüfen und den Placental Growth Factor (PlGF) bestimmen

Das Ersttrimesterscreening wurde ursprünglich als reines Screening auf Down-Syndrom (Trisomie 21), der häufigsten Chromosomenstörung beim Menschen, entwickelt. Hierbei wurde ursprünglich nur die Nackentransparenzmessung mit dem mütterlichen Alter und dem Schwangerschaftsalter kombiniert. Unter Einbeziehung von zwei Hormonwerten aus dem mütterlichen Blut (freies ß-HCG und PAPP-A) betrugt die Erkennungsrate 85–90%. Zusätzlich wurde später noch eine Risikokalkulation auf die zweit- und dritthäufigste Störung, die Trisomie 18 (Edwards-Syndrom) und die Trisomie 13 (Pätau-Syndrom), etabliert. Eine erhöhte Nackentransparenz kann auch einen hohen Prozentsatz anderer Chromosomenanomalien identifizieren und ist mit schweren Fehlbildungen des Herzens und der großen Gefäße sowie einem breiten Spektrum genetischer Syndrome assoziiert.

In der Hand des Spezialisten ist diese Untersuchung heute also weit mehr als ein reines Down’s – Screening. Wir erkennen mehr als 95% der Trisomien 13, 18 und 21. Zusätzlich führen wir einen frühen Fehlbildungsschall mit Beurteilung der wichtigsten kindlichen Organe (Herz, Gehirn, Nieren) und der Extremitäten durch. Hierbei erkennen wir in diesem frühen Schwangerschaftsalter bereits mehr als 75% aller Fehlbildungen. Dieser Ultraschall liefert außerdem bei Mehrlingsschwangerschaften eine verlässliche Identifikation der sogenannten Chorionizität (Anzahl der Plazenten und Fruchthöhlen). Diese Kenntnis ist von entscheidender Bedeutung für die richtige Überwachung und Behandlung dieser Schwangerschaften.

Auch das Next Generation Screening in Kombination mit einem cffDNA-Test (NIPT) mit Erkennungsraten des Down’s Syndrom bis zu 99% wird bei uns bereits seit August 2012 angeboten, so dass ein reichhaltiger Erfahrungsschatz vorhanden ist.

Durch unsere Tätigkeit in einem anerkannten Zentrum wissen wir, dass sich leider nicht alle Schwangerschaften komplikationslos entwickeln. Daher gehört schon zu diesem frühen Zeitpunkt das Screening auf sogenannte Präeklampsie zu einem festen Bestandteil der Untersuchung. Dabei kombinieren wir mütterliche Parameter mit einer Doppleruntersuchung der Placenta und zwei Hormonwerten aus dem mütterlichen Blut (PAPP-A und PlGF). So gelingt uns eine treffende Vorhersage auf diese Komplikation in über 93%. Dieses hat deshalb eine große Bedeutung, weil wir erkannte Risikopatientinnen besonders überwachen und therapieren können, so dass die Wahrscheinlichkeit für Komplikationen deutlich sinkt.

Das Kompetenzzertifikat für die Ultraschalluntersuchung der FMF London wird nur an diejenigen Ultraschalldiagnostiker verliehen, die die Untersuchung auf einem hohen Niveau durchführen können und gute Kenntnisse der diagnostischen Merkmale und des Managements der Krankheitsbilder, die durch diese Ultraschalluntersuchungen identifizierbar sind, aufweisen. Dieses wird in jährlichen Audits überprüft. Regelmäßig geben wir unser Wissen hierüber auch in von der FMF akkreditierten Kursen an andere Frauenärzte weiter.

SSW 11